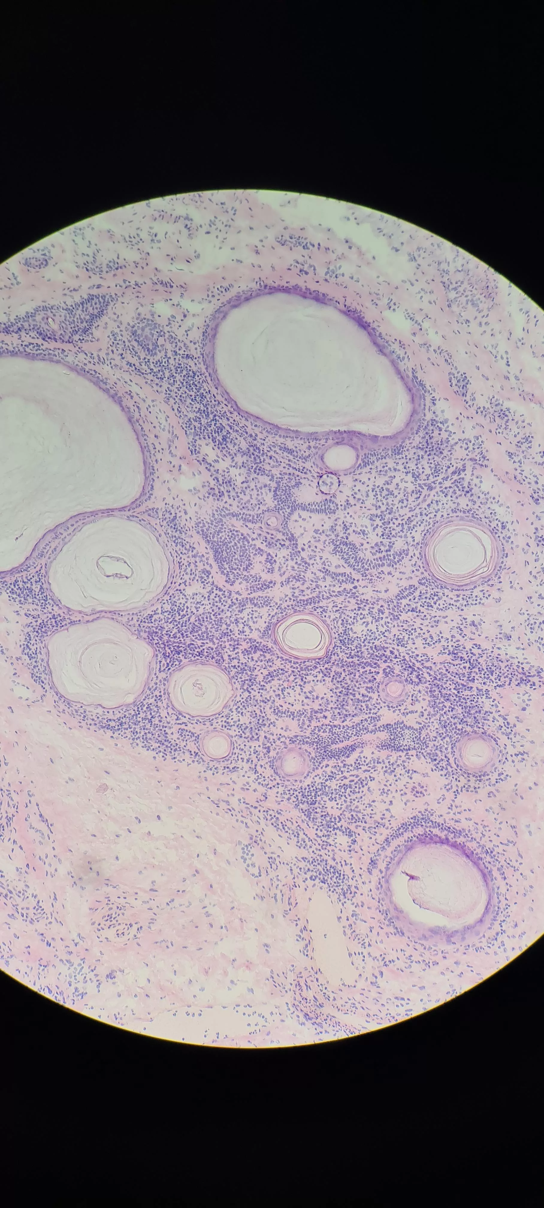
You guys seemed to like my previous histo images of cysts. Here is a particularly dense cystic structure in an eyelid. Thankfully cancer free.




Views: 96
Submitted: 2022-01-17 12:24:05
Posted by: Parmenion87






More Photos




Big ol' uncapped blister from not wearing the right socks and new platform docs for only a few hours 😫 by pro_bed_wetter
HD Big ol' uncapped blister from not wearing the right socks and new platform docs for only a few hours 😫
popping 212 100%
My friend’s lipoma from her back by DoLittlest
HD My friend’s lipoma from her back
popping 185 100%
Week Old Abscess Starting to Drain - Presc Antibiotic by jabba-du-hutt
HD Week Old Abscess Starting to Drain - Presc Antibiotic
popping 113 100%
Pus from a pimple on my ear cartilage by anon240501
HD Pus from a pimple on my ear cartilage
popping 196 100%
A Bone Shard fragment that came through gum following wisdom tooth removal. More detail in comments. by dozerbear33
HD A Bone Shard fragment that came through gum following wisdom tooth removal. More detail in comments.
popping 157 100%
Popped this blackhead on my cats chin today by catbutts123
HD Popped this blackhead on my cats chin today
popping 215 100%
This unit of a pimple on my partner's lip. Apparently it hurts like hell. by VadMayores
HD This unit of a pimple on my partner's lip. Apparently it hurts like hell.
popping 140 100%
1 week after surgery on my abscess by RevalationsZ993
HD 1 week after surgery on my abscess
popping 366 100%

Browse now more glamour porn pictures like You guys seemed to like my previous histo images of cysts. Here is a particularly dense cystic structure in an eyelid. Thankfully cancer free. We offer a wide variety of stuff. Being a photo porn site means that it will include almost everything since pictures are the most varied type of porn that is available.

Expect specific crap like "short hair," "latex," "teen," and many others!
The website loads incredibly quickly, allowing you to browse and see the sexiest naked women from across the world!

What is there to complain about in terms of the content? You may always perform more research if you need more because we have millions of images with accurate source and author citations.

Glamourhound.com is a cutting-edge website that values its visitors. That's a strange thing to say for a website with pornographic images, but that's the impression our user will have. We have so many porn categories like: Amateur, Anal, Asian and let's not forget about ass. Anyone love ass, big asses or small, doesn't matter. Our list continue: Blowjob, amateur girls doing their job, college, creampie and facial cumshots. The list continue, but a thing is sure: we love every category that we created. Especially our pornstars.